自國家衛健委明確使用財政貼息貸款更新改造醫療設備以來,各地相繼傳來好消息,低至百萬高至數億元的貼息貸款成功發放到醫院賬戶。據央行文件了解,本次醫院貼息貸款政策申請將在12月31日前結束,從目前的落地情況來看,本輪政策的執行力度是遠超預期的。

近日全國各地已有大批醫院公布了醫院貼息貸款設備采購意向,如下:

01

四川達州萬源市中醫院貼息貸款設備采購

預算:3350.12萬

預計采購時間:2022年11月

涉及產品:推車式全數字超聲診斷系統、超聲診斷系統、數字化X光機(DR)、麻醉機、呼吸機、電子胃腸鏡、中醫診療設備、壓力蒸汽滅菌器、檢驗設備(全自動生化流水線等)等

02

云南保山昌寧縣中醫醫院貼息貸款設備采購

預算:767.47萬

預計采購時間:2022年11月

涉及產品:麻醉機、可視硬性喉鏡、輸液泵、宮腔鏡及冷刀系統、全自動生化分析儀、全自動尿分析系統、數字化X光機(DR)等多項設備

03

湖北黃岡武穴市第一人民醫院貼息貸款設備采購

預算:2277.3萬

預計采購時間:2022年11月

涉及產品:空氣消毒機、數字化X光機(DR)、便攜式超聲診斷儀、泌尿外科設備、婦科設備、呼吸科設備等

04

吉林長春市人民醫院貼息貸款設備采購

預算:677萬

預計采購時間:2022年11月

涉及產品:數字化X光機(DR)、骨密度雙源X線等

05

廣西玉林興業縣山心鎮衛生院貼息貸款設備采購

預算:600萬

預計采購時間:2022年12月

涉及產品:32排CT、彩超、數字化X光機(DR)

06

廣西玉林興業縣葵陽鎮衛生院貼息貸款設備采購

預算:528.95萬

預計采購時間:2022年12月

涉及產品:全自動尿液分式儀、電解質全自動分析儀、顯微鏡、數字化X光機(DR)、彩超、全自動洗胃機等多項設備

數字化X光機(DR)

眾所周知,除了醫療機構,廣大醫療器械企業也是此次新政的最大受益者之一,在政策發布后,大批醫療器械企業積極響應號召,并及時公布了醫院貼息貸款解決方案。以普愛醫療為例,基于不同醫療機構用戶需求,能為醫療設備的更新改造提供全場景整體解決方案。產品涵蓋骨科手術機器人、移動式C形臂、數字化X光機(DR)、多功能DRF、胃腸機、口腔CBCT等品類,產品配置超百款。

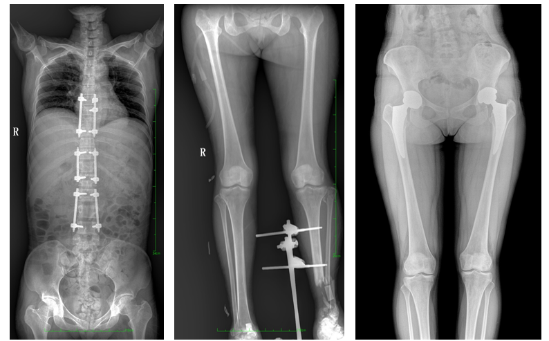
普愛醫療自主研發的一款數字化X光機——PLX8600大視野平板動態DR,擁有43cm*86cm超大有效視野,可一次性拍攝全脊柱、雙下肢的影像視野。使全脊柱及雙下肢能夠得到完整清晰的成像,為臨床在脊柱側彎畸形和下肢骨關節病變診斷、治療方案制定及治療后復查提供精準的測量。

數字化X光機影像

除常規靜態攝影外,PLX8600具備動態透視和點片功能,透視采集功能可支持大視野、多角度的可視化觀察。通過可視化的動態影像,配合點片功能,能夠很好的觀察復雜部位病灶,有效的抓取關鍵幀,降低患者多次攝片的概率。如:全脊柱狀態評估、長骨關節活動度、下肢靜脈造影瓣膜功能評估、消化道功能評估、脊髓造影等更多大視野臨床應用。