隨著醫學的不斷發展,影像已經成為檢查手段之一,從最初的數字化X光攝影產品,發展到直接的數字化X光攝影產品(靜態DR),再到當下成為醫療機構主流選擇的動態數字化X線攝影(動態DR)。

動態數字化X線攝影(動態DR)

近年來,脊柱及下肢畸形的患者較多,多發于青少年的脊柱側彎畸形,骨性關節炎、風濕性關節炎以及雙下肢畸形如膝關節內外翻、X型O型腿等也是骨科常見病。并且發病率呈現逐年升高的趨勢,常常累及下肢髖、膝、踝3個負重關節,影響患者生活,甚至喪失工作能力。

在脊柱及下肢畸形的臨床治療過程中,一般需要進行矯正手術治療,在對其進行手術前后,均需要拍攝X光片以便分析病情、明確診斷和觀察治療效果。常規DR拍攝面積有限,最大規格僅有43cm,但成人男性全脊柱長度平均為70-75cm,女性為66-70cm,而雙下肢更長。普愛醫療PLX8600動態DR的43cm*86cm超大有效視野,可一次性拍攝全脊柱、雙下肢的影像視野。

常規DR攝片技術不能一次性拍攝出完整的全脊柱或雙下肢的X光影像。全脊柱的拍攝需要分別拍攝頸椎、胸椎、腰椎的X光片,雖然能夠觀察到局部的側彎情況,但不能觀察到三者之間的連續性,這就增加了這類疾病的診治難度。

普愛醫療動態數字化X線攝影(動態DR)擁有43cm*86cm超大有效視野,使全脊柱及雙下肢能夠得到完整清晰的成像,為臨床在脊柱側彎畸形和下肢骨關節病變診斷、治療方案制定及治療后復查提供精準的測量。

動態數字化X線攝影(動態DR)

全脊柱臨床影像

普愛醫療動態數字化X線攝影(動態DR)可以使整個脊柱一次成像,直觀顯示脊柱的整體形態以及側彎部位,評價側彎的病理程度,全面了解脊柱各個階段的生理曲度及椎間關節連接的關系,避免了常規脊柱攝影對整個脊柱曲度的影響。為脊柱側彎的診斷治療提供了重要的影像學依據。

動態數字化X線攝影(動態DR)成像

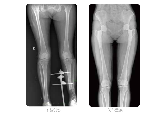
雙下肢臨床影像

普愛醫療動態數字化X線攝影(動態DR)可以整體顯示雙髖至雙踝關節,直觀的展示因關節軟骨磨損和軟組織不平衡所造成的畸形及力線異常,全面對比了解雙下肢的病變情況。對于下肢矯正和人工關節置換術的術前計劃,術后觀察有著重要的臨床意義。

普愛醫療動態數字化X線攝影(動態DR)一次成像不拼接,解決了拼接圖像存在密度不均勻,拼接處圖像配準和放大效應等問題,給臨床帶來了真正的大視野影像解決方案,高清畫質,準確成像不失真,輔助醫生準確診斷疾病。